Habertürk
    Takipde Kalın!
      Günlük gelişmeleri takip edebilmek için habertürk uygulamasını indirin
        Haberler Sağlık Alzheimer araştırmalarında riski artıran genetik varyant bulundu | Sağlık Haberleri
        Sesli Dinle
        0:00 / 0:00

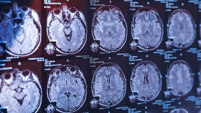
        Yeni bir araştırma, yaşlı erkeklerde yaygın görülen bir genetik varyantın demans riskini ciddi şekilde artırabileceğini ortaya koydu.

        Araştırmada, ABD ile Avustralya'da yürütülen ve kalp-damar hastalığı, demans ya da bilişsel gerileme geçmişi olmayan yaşlı bireyleri takip eden çalışmaların verilerinin kullanıldığı bildirildi.

        Araştırmacılar, Avrupa kökenli 70 yaş üzeri 12 binden fazla Avustralyalı üzerinde HFE genindeki varyantlara odaklandı.

        Bu gen, vücuttaki demir seviyelerini düzenlemede kritik rol oynuyor. Özellikle ‘H63D’ isimli varyantın iki kopyasına sahip erkeklerde, demans gelişme riskinin 2,39 kat daha yüksek olduğu belirlendi. Bu risk artışı, yalnızca erkeklerde görülürken kadınlarda benzer bir ilişki tespit edilmedi.

        Araştırmaya göre bu genetik yapı, ‘hemochromatosis’ adı verilen ve vücutta aşırı demir birikmesine yol açan bir duruma neden olabiliyor. Bu durum da karaciğer sirozu, karaciğer kanseri, kas iskelet sistemi sorunları ve demans gibi hastalıklarla ilişkilendiriliyor.

        ÖNERİLEN VİDEO
        Yazı Boyutu
        GÜNÜN ÖNEMLİ MANŞETLERİ
        Habertürk Anasayfa