Habertürk
    Takipde Kalın!
      Günlük gelişmeleri takip edebilmek için habertürk uygulamasını indirin
        Haberler Sağlık "Akciğer kanseri, her geçen gün daha fazla kişiyi etkiliyor" - Haberler | Sağlık Haberleri
        • 1

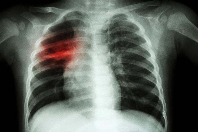
          Akciğer kanseri, sık görülen ve kansere bağlı ölümlerin başlıca nedenlerinden biri olarak ülkemizde ciddi bir halk sağlığı sorunu oluşturuyor. Tıbbi Onkoloji Uzmanı Doç. Dr. Murat Sarı, bu hastalığın erken evrede tespit edilmesinin tedavi sürecinde belirleyici bir rol oynadığını ifade etti. Akciğer kanseri riskini artıran en önemli etkenin sigara kullanımı olduğunu vurgulayan Doç. Dr. Sarı, sigara içen bireylerin tarama programlarına düzenli olarak katılmasının hayati önem taşıdığına dikkat çekti.

        • 2

          AKCİĞER KANSERİNİN YAYGINLAŞAN RİSKLERİ

          Sigara içmenin, bu kanser türündeki en büyük risk faktörlerinden biri olduğunu vurgulayan Doç. Dr. Sarı, “Sigara kullanmamak, akciğer kanserinden korunmak için en önemli faktörlerden biridir. Özellikle sigara içen bireylerin, akciğer kanserinin erken evrelerini tespit etmek adına düzenli tarama programlarına katılmalarını şiddetle tavsiye ediyoruz.

        • 3

          Uluslararası tedavi kılavuzlarına göre, 50 yaşın üzerinde ve en az 20 paket yıl sigara içmiş bireylerin yıllık olarak düşük doz akciğer tomografisi ile tarama yaptırması gerektiği belirtiliyor. 20 paket yıl kavramını açıklamak gerekirse, kişinin günde içtiği sigara paket sayısı ile içtiği yıl sayısının çarpımıdır. Birey günde 1 paket sigara içiyorsa ve 20 yıldır sigara içiyorsa, bu 20 paket yıl anlamına gelir” dedi.

        • 4

          ÖKSÜRÜK, KANLI BALGAM, NEFES DARLIĞI ŞİKAYETLERİNE DİKKAT!

          Doç. Dr. Sarı konuşmasına şöyle devam etti: “Akciğer kanseri tanısı genellikle öksürük, kanlı balgam, nefes darlığı gibi şikayetlerle başlar. Bu şikayetler sonrası yapılan tetkikler sonucunda akciğerlerde bir lezyon görülmesi durumunda, hastaya bronkoskopi eşliğinde veya dışarıdan bir iğneyle biyopsi alınarak tanı konur. Tanıdan sonra hastanın evrelemesi yapılır ve tedavi süreci buna göre belirlenir. Erken evre akciğer kanserinde, hastalığı tamamen yok etmek amacıyla cerrahi müdahale yapılabilirken, ileri evrelerde tedavi daha çok hastalığın kontrol altına alınması ve hastanın yaşam süresinin uzatılması hedeflenir.”

        • 5

          EVREYE GÖRE TEDAVİ YÖNTEMLERİ

          Doç. Dr. Sarı, “Akciğer kanserinin tedavisinde kullanılan yöntemler, hastalığın evresine göre değişiklik gösterir. Erken evrelerde cerrahi müdahale, ardından patolojik evreye göre kemoterapi, radyoterapi veya akıllı ilaçlar gibi tedavi yöntemleri uygulanabilir. Cerrahi müdahale, bazı hastalar için uygun olmayabilir ve bu durumda kemoradyoterapi, yani ışın tedavisi ve kemoterapinin birlikte kullanıldığı yöntem tercih edilebilir. Dördüncü evre akciğer kanserinde ise tedavi, genellikle tıbbi onkolojinin yönetiminde yürütülür. Burada amaç, hastalığı kontrol altında tutmak, yaşadığı şikayetleri azaltmak ve yaşam süresini uzatmaktır” dedi.

        • 6

          Doç. Dr. Sarı, “Dördüncü evre hastalarda tedavi seçeneklerinden biri de akıllı ilaçlar ve immünoterapilerdir. Akıllı ilaçlar, tümörün genetik yapısına göre geliştirilmiş tedavi yöntemleridir ve tedaviye başlanmadan önce tümörün genetik yapısının incelenmesi önemlidir.

        • 7

          Akıllı ilaç tedavileri, immünoterapilerle birleşerek hastaların yaşam kalitesini artırmak ve yaşam sürelerini uzatmak için kullanılır. Kemoterapi ile birlikte veya tek başına uygulanabilen immünoterapiler, kanserin ilerlemesini durdurma ve şikayetleri hafifletme amacını taşır” ifadelerini kullandı.

        • 8

          BİRDEN FAZLA BRANŞ BİR ARADA ÇALIŞMALI

          Doç. Dr. Sarı, “Akciğer kanserinin tedavisinde, birden fazla branşın bir arada çalışması büyük önem taşır. Göğüs hastalıkları, göğüs cerrahisi, radyoloji, nükleer tıp, patoloji, radyasyon onkoloji ve tıbbi onkoloji gibi birimlerin iş birliği ile yapılan tedavi süreçleri, hastaların doğru şekilde değerlendirilmelerini sağlar. Bu nedenle, akciğer kanseri tedavisi için, bu branşların birlikte çalıştığı merkezlerde tedavi almanın daha etkili olduğu belirtilmektedir" dedi.

        Yazı Boyutu
        GÜNÜN ÖNEMLİ MANŞETLERİ
        Habertürk Anasayfa