Habertürk
    Takipde Kalın!
      Günlük gelişmeleri takip edebilmek için habertürk uygulamasını indirin
        Haberler Sağlık ABD'deki sağlık tesislerinde ölümcül risk | Sağlık Haberleri
        Sesli Dinle
        0:00 / 0:00

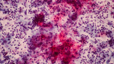
        Hastalık Kontrol ve Önleme Merkezleri (CDC), dün yaptığı açıklamada, ölümcül ve ilaca karşı yüksek dirençli bir mantarın uzun süreli bakım hastanelerinde ve çok hasta insanlara bakan diğer sağlık tesislerinde "endişe verici bir oranda" yayıldığını duyurdu.

        VAKALAR ARTIYOR

        CDC verilerine göre, Candida auris olarak bilinen maya türünden kaynaklanan mantar enfeksiyonları 2019'da 476'dan 2021'de 1.471'e yükselerek ulusal çapta üç kat arttı. Bir kişinin mantarı taşıdığı ancak enfekte olmadığı vakalar ise aynı dönemde neredeyse dört kat artarak 1.077'den 4.040'a çıktı. Ön veriler, sayıların artmaya devam ettiğini gösteriyor.

        REKLAM

        The Washington Post'ta yer alan habere göre, bilim insanları, bağışıklık sistemleri onunla savaşabilen sağlıklı insanlar için mantarın bir tehdit oluşturmadığını söylüyor. Ancak solunum cihazına bağlı bakımevi hastaları ve kemoterapi gören kanser hastaları gibi tıbbi açıdan hassas kişiler için tehlike oluşturuyor. Hastanede yatan kan dolaşımı enfeksiyonu gelişmiş kişilerin yüzde 30 ila 70'inin öldüğü tahmin ediliyor.

        SAĞLAM ENFEKSİYON KONTROL PLANLARINA İHTİYAÇ VAR

        CDC uzmanları, mantarın bulaşmasını azaltmak için sağlam enfeksiyon kontrol planlarına ihtiyaç duyulduğunu belirtiyor.

        Vanderbilt Üniversitesi Tıp Merkezi'nin bulaşıcı hastalıklar bölümünde tıp profesörü olan William Schaffner, "Mantarlar bir hastaneye girerse, kontrol edilmesi ve dışarı çıkarılması çok zordur" dedi.

        CDC sağlık görevlisi ve mantarın yayılımını detaylandıran makalenin baş yazarı Meghan Lyman, mantarın yüzeylerde uzun süre kalması nedeniyle hastanelerin kapsamlı bir şekilde temizlenmesinin zor olduğunu ve sağlık ortamlarında yaygın olarak kullanılan bazı dezenfektanların bu mantara karşı işe yaramadığını söyledi.

        Koronavirüs pandemisi, sağlık çalışanlarının virüsün solunum yoluyla yayılmasını engellemek ve hasta akınına yetişmek için sınırlı kaynaklarla mücadele etmesi nedeniyle bu zorlukları daha da artırdı.

        REKLAM

        İLK KEZ 2016'DA TESPİT EDİLDİ

        Yetkililer Candida'yı ilk kez 2016 yılında ABD'de tespit etti. Mantar, farklı antifungal ilaç sınıflarına karşı dirençli olduğu için ciddi bir küresel halk sağlığı tehdidi olarak kabul ediliyor. Genellikle ilk uygulanan tedavi olan ekinokandin ilaçlara karşı direnç ABD'de nadir görülse de araştırmacılar az sayıda ama giderek artan sayıda vakanın bu ilaç sınıfına direnç göstermesinden endişe duyuyor.

        Lyman, "Hazırlık aşamasında birkaç antifungal var, bu da bize biraz umut veriyor" dedi.

        Mantar şu anda eyaletlerin yarısından fazlasında tespit edildi. 17 eyalet ilk vakalarını 2019 ile 2021 yılları arasında tespit etti. CDC, yayılmanın çoğunun, hastaların ventilatörlere bağlı olma olasılığının daha yüksek olduğu uzun süreli akut bakım hastanelerinde ve uzman bakım tesislerinde meydana geldiğini söyledi. Tarama, özel ekipman gerektirdiği ve ABD genelinde eşit olmayan bir şekilde yürütüldüğü için vaka sayıları muhtemelen düşük tahmin ediliyor.

        CANDIDA EVRİMLEŞİYOR

        Candida kan dolaşımında, kalpte ve beyinde ölümcül enfeksiyonlara neden olabiliyor. CDC kaç kişinin öldüğünü takip etmiyor ve en yüksek risk altındaki hastalar genellikle yaşam mücadelesi verirken ölüm nedenini anlamak zor olabiliyor.

        10 yıldan uzun bir süre önce Hindistan, Güney Afrika ve Güney Amerika'da tespit edilen mantarın ortaya çıkışı araştırmacıları şaşırttı. Mantarlar genellikle insan vücudunun sıcaklığına dayanamaz; ancak önde gelen bir teori, Candida'nın ısınan bir dünyada hayatta kalmak için evrimleştiği için artık bunu yapabildiğini öne sürüyor.

        Johns Hopkins Bloomberg Halk Sağlığı Okulu'nda mikrobiyolog olan ve mantarı inceleyen Arturo Casadevall, "İklim değişikliği ya da küresel ısınma bu şekilde hastalıklara yol açabilir çünkü çevredekiler hayatta kalmak için uyum sağlamak zorundadır" dedi.

        Casadevall, CDC, hastanelerin gözetim, el hijyeni ve uygun dezenfektanlarla derinlemesine temizlik üzerinde durması halinde Candida'nın yayılmasının durdurulabileceğini söylüyor.

        ÖNERİLEN VİDEO
        Yazı Boyutu
        GÜNÜN ÖNEMLİ MANŞETLERİ
        Habertürk Anasayfa