Habertürk
    Takipde Kalın!
      Günlük gelişmeleri takip edebilmek için habertürk uygulamasını indirin
        Haberler Sağlık Fransa'dan kritik koronavirüs açıklaması! - Haberler | Sağlık Haberleri

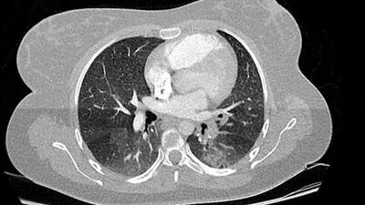
        Dünyayı etkisi altına alan koronavirüs (Covid-19) salgını Avrupa'da can almaya devam ediyor. Fransız bilim insanları, 2019'un son aylarında çekilen binlerce göğüs filmi röntgenini incelemelerinin ardından koronavirüs (Covid-19) salgının Avrupa'ya Kasım ayında geldiğine yönelik bulguların bulunduğunu açıkladı.

        Fransa'nın Haut-Rhin bölgesindeki Colmar kentinde bulunan Albert Schweitzer Hastanesi'nden Dr. Michel Schmitt ve ekibi, 2019´un son aylarında çekilen binlerce göğüs filmini incelerken koronavirüs ile benzer iki bulgu belirledi.

        2 BİN 500 RÖNTGENDE KORONAVİRÜS BULGUSU

        Dr. Schmitt ve ekibinin 16 - 18 Kasım 2019 tarihleri arasında çekilen göğüs filmlerini analizi sırasında yaklaşık 2 bin 500 röntgende koronavirüs bulgularına benzer bulgular rastlandığı ifade edildi. Sonuçların henüz çıkarılamayacağını ve ekibinin virüsün yayılmasını haritalamak için Ekim'e kadar uzanan X-ışınlarına bakacağını söyleyen Dr. Schmitt , "Geleceği ancak geçmişi anlarsak yönetebiliriz. Bugün bu salgını açıkça anlamıyoruz. Bu hükümetin yönetim stratejisini tamamen değiştirebilir" dedi.

        Yazı Boyutu
        GÜNÜN ÖNEMLİ MANŞETLERİ
        Habertürk Anasayfa