Habertürk
    Takipde Kalın!
      Günlük gelişmeleri takip edebilmek için habertürk uygulamasını indirin
        Sesli Dinle
        0:00 / 0:00

        İl Emniyet Müdürlüğü Narkotik Suçlarla Mücadele Şube Müdürlüğü ekipleri tarafından gerçekleştirilen operasyonda, uyuşturucu ticareti yapmak üzere kente otobüsle geldiği bilgisine ulaşılan 2 şüpheli gözaltına alındı.

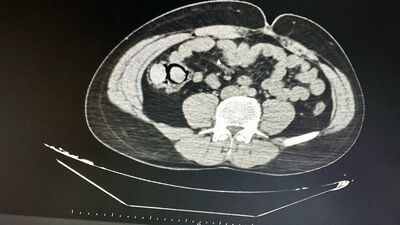
        Şüphelilerin hastanede yapılan muayenelerinde, midelerinde toplamda 10 parça halinde 113 gram metamfetamin maddesi ele geçirildi. Şüphelilerin midelerindeki uyuşturucu paketleri, hastanede yapılan işlemle çıkarıldı.

        Emniyetteki işlemlerinin ardından adliyeye sevk edilen şüpheliler, sevk edildikleri adliyede çıkarıldıkları mahkemece tutuklanarak cezaevine gönderildi.

        Fotoğraf, DHA tarafından servis edilmiştir.

        ÖNERİLEN VİDEO
        Yazı Boyutu
        GÜNÜN ÖNEMLİ MANŞETLERİ
        Habertürk Anasayfa