Habertürk
    Takipde Kalın!
      Günlük gelişmeleri takip edebilmek için habertürk uygulamasını indirin
        Haberler Sağlık Covid-19 sürecindeki sokağa çıkma yasakları genç kızların beyinlerini daha fazla yaşlandırmış | Sağlık Haberleri
        Sesli Dinle
        0:00 / 0:00

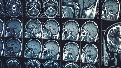
        Bulguları "Proceedings of the National Academy of Sciences" dergisinde yayınlanan araştırmaya göre, ABD'deki Washington Üniversitesinden bilim insanları, 2018'de yaşları 9 ila 17 arasında değişen 160 gencin ve bu gençlerden 2021-2022'de 12 ila 16 yaşlarına erişenlerin beyinlerini manyetik rezonans görüntüleme (MRI) ile inceledi ve sonuçları karşılaştırdı.

        Araştırmacılar, karşılaştırma sonucunda Covid-19 salgını döneminde sokağa çıkma yasaklarını deneyimleyen genç kızların beyninin beklenenden ortalama 4.2, genç erkeklerin beyinlerinin ise beklenenden yaklaşık 1.4 yıl daha fazla yaşlandığını buldu.

        İki grubun da beynin görüşü etkileyen kısmında erken yaşlanma deneyimlediğini aktaran araştırmacılar, genç kızların beyinlerindeki değişimin 30 bölgede meydana geldiğini ve değişimlerin çoğuyla duyguların işlenmesi, yüz ifadelerinin yorumlanması ve dilin anlaşılması gibi iletişim için kritik öneme sahip olan bölgelerde karşılaştıklarını belirtti.

        GENÇLERİN RUH SAĞLIĞINI VE POTANSİYELİNİ ETKİLEMESİNDEN ENDİŞE EDİLİYOR

        Araştırmanın yazarlarından, Washington Üniversitesi Öğrenme ve Beyin Araştırmaları Enstitüsü yöneticisi Prof. Dr. Patricia Kuhl, genç kızların sağlıklı sinirsel, fiziksel ve duygusal gelişimleri için genç erkeklere kıyasla sosyal grup ve etkileşimlere daha fazla bağlı olduğunu kaydetti.

        Kuhl, iki grubun beyinlerinde farklı değişimlerin meydana gelmesinin bununla ilgili olduğunu söyledi.

        Gençlerin beyinlerindeki değişimlerin olumsuz sonuçları olup olmadığı henüz bilinmezken bunların gençlerin ruh sağlığını ve öğrenme potansiyelini etkilemesinden endişe ediliyor.

        ÖNERİLEN VİDEO
        Yazı Boyutu
        GÜNÜN ÖNEMLİ MANŞETLERİ
        Habertürk Anasayfa