Bilim Kurulu Üyesi: Aşılanmamış grup çok büyük akciğer enfeksiyonuyla karşımıza geliyor
Sağlık Bakanlığı Koronavirüs Bilim Kurulu Üyesi Prof. Dr. Sema Kultufan Turan, "Son zamanlarda gelen hastaların çoğunlukla aşısız olduğunu görüyoruz. Bu da bizi çok fazla üzüyor. Aslında elimizde aşı gibi ağır hastalıktan koruyacak bir silah varken onu kullanmamış olmanın yoğun bakımda oluşturduğu yansıma gerçekten içler acısı. Aşılanmamış grup çok büyük akciğer enfeksiyonuyla karşımıza geliyor" dedi
Sağlık Bakanlığı Koronavirüs Bilim Kurulu Üyesi ve Ankara Şehir Hastanesi Yoğun Bakım Koordinatörü Prof. Dr. Sema Kultufan Turan, son zamanlarda artan vaka sayısının ve buna bağlı olarak da aynı şekilde artış gösteren ağır hasta sayısının yoğun bakımlara da yansıdığını söyledi.
Prof. Dr. Turan, aşılamanın öneminin yoğun bakımlarda direkt hissedildiğini vurgulayarak, şu an yoğun bakımlarda yer alan hastaların çok büyük bir oranının aşısını olmamış kişilerden oluştuğunu belirtti.
Aşılamanın pandemi zincirini kıracak en büyük silah olduğunun altını çizen Prof. Dr. Turan, aşı olmayan genç hastaların da yoğun bakımlarda görüldüğünü ve çok yoğun akciğer enfeksiyonu gözlemlendiğini söyledi. Turan, ayrıca şu an tüm dünyada görüldüğü gibi Türkiye’de de Delta varyantının aktif bir şekilde görüldüğünü ve bulaş oranı diğer varyantlara göre daha yüksek olduğu için bir an önce aşı olmayan vatandaşların aşılarını olması gerektiğini ve kişisel önlemlerin de aynı şekilde devam etmesi gerektiğini vurguladı.
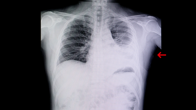
"AŞILANMAMIŞ GRUP ÇOK BÜYÜK AKCİĞER ENFEKSİYONUYLA KARŞIMIZA GELİYOR"
Aşılamanın pandemide çok önemli bir kurtuluş yolu olduğunun altını çizen Prof. Dr. Turan, “Pandemi sırasında elimizdeki en önemli silahın aşı olduğunu vurgulamıştık ve vurgulamaya da devam ediyoruz. Çünkü ağır hasta sayısını ya da hastaneye yatış oranlarını aşılamadaki başarı belirliyor. Biz de son zamanlarda gelen hastaların çoğunlukla aşısız olduğunu görüyoruz bu da bizi çok fazla üzüyor. Aslında elimizde aşı gibi ağır hastalıktan koruyacak bir silah varken onu kullanmamış olmanın yoğun bakımda oluşturduğu yansıma gerçekten içler acısı. Çok daha genç hastalar, aşılanmamış grup çok büyük akciğer enfeksiyonuyla karşımıza geliyor. Şu an en büyük sıkıntımız, aşılanmamış grubun yoğun bakım ihtiyacının olması ve devam etmesi. Örneğin aşılanmamış bir birey gidip bu hastalığa yakalandıysa bize söylediği, ‘Çok pişmanım şu hale gelmekten dolayı, keşke aşılansaydım’ şeklinde hava açlığı içerisinde yaşamanın sıkıntısını fark ediyorlar. Bu çok önemli, büyük bir çoğunluğu aşısız grup oluşturuyor. İkinci bir grup ise iki doz Sinovac aşısı olmuş ama üzerinden fazla vakit geçmiş hastalar. Burada biz aslında Bilim Kurulunda 6 ay gibi bir süreden bahsetmiştik. 3 ila 6 ay geçmiş bireylerde özellikle bir hatırlatma dozunun yapılmasının gerekliliği söz konusu. Halkımızın bu konuda ilgisinin devam etmesi lazım. ‘İki doz aşı oldum, artık gerek yok’ gibi bir mantık yok. Çünkü hala aşılanmaya ihtiyacımız var” ifadelerini kullandı.
"VAKA SAYILARI 2-3 HAFTAYA KADAR DAHA DA ARTACAK GİBİ GÖRÜNÜYOR"
Son zamanlarda vaka sayılarında yaşanan artışın yoğun bakımlarda da hissedilmeye başladığını vurgulayan Prof. Dr. Sema Kultufan Turan, “Her zaman, diğer yaşadığımız üç pikte de önce vaka sayıları artar. Daha sonra da hasta sayıları, hastane başvuruları artar. En son da yoğun bakıma ihtiyacı olan insanların sayısı artar. Şu anda aslında ona benzer bir görüntü içerisinde yaşıyoruz. Çünkü giderek başvuran hasta sayısı artıyor. Yoğun bakıma ihtiyacı olan hasta sayısı da 2-3 hafta içerisinde artacak gibi görünüyor. Bu da bizi endişelendiriyor. O nedenle de bizim önlemleri bir anda böyle bırakmamızın doğru olmadığını vurgulamak isterim. Biz mesafemize, maskemize ve kapalı alanlarda mesafeli durma kurallarına dikkat etmemiz gerekiyor. Pandemi bitmedi çünkü ve devam ediyor. Biliyoruz ki tüm halkımız bu 1 buçuk yıl boyunca çok yoruldu. Biz de sağlık çalışanları olarak çok yorulduk. Elimizde aşı gibi bir silah var, son düzlüğe çıkmak üzereyiz. Lütfen önlemlere bir süre daha dikkat edelim. Bir süre daha bu önlemlere dikkat edersek bu artışın önüne geçebiliriz. Aşılama ile birlikte bu süreci daha iyi yönetebiliriz. Bu yüzden sürekli dikkat olmamız gerektiğini vurguluyorum. Vaka sayıları 2-3 haftaya kadar daha da artacak gibi görünüyor” diye konuştu.
"DELTA VARYANTI OLAN HASTALARIN SAYISI GİDEREK ARTIYOR"
Yoğun bakımlarda Delta varyantı olan hastalar da görüldüğünü ve bunların da çoğunlukla aşılanmayan kişilerden oluştuğunu vurgulayan Prof. Dr. Turan, “Delta varyantı olan hastalarımız da var ve sayıları giderek artıyor. Çünkü bu pandemiler boyunca, bu pikler boyunca hakim olan suş (varyant), yaygın olan suş haline geldi. Şuan dünyada Delta varyantı çok yaygın. Dolayısıyla bu ülkemize de yansıyor. Bizde de Delta varyantı olan çok sayıda hasta var. Delta varyantının farkı, aslında bulaştırıcılığının çok yüksek olması. Eğer aşısız bir bireyseniz de ağır hastalık oluşturmasıdır. O nedenle de Delta varyantına karşı da hem aşılama hem de önlem açısından dikkat etmemiz gerekir” şeklinde konuştu.