Habertürk
    Takipde Kalın!
      Günlük gelişmeleri takip edebilmek için habertürk uygulamasını indirin
        Haberler Sağlık Genel Sağlık 2 bin 700 kişi tanı konmazsa ölebilir | Sağlık Haberleri

        Türkiye'de tanı koyma süresi ortalama 26 yıl olan ve belirtileri sebebiyle alerjiyle karıştırılan 'Herediter Anjioödem' hastalığının 2 bin 700 kişiyi ölümle tehdit ettiği ortaya çıktı.

        Türkiye Ulusal Alerji ve Klinik İmmünoloji Derneği Herediter Anjioödem Çalışma Grubu Başkanı Prof. Dr. Nihal Mete Gökmen, "Ülke genelinde 250 hastaya tanı kondu ama, 2 bin 700 kişi hala tanı konulmasını bekliyor" dedi.

        Türkiye Ulusal Alerji ve Klinik İmmünoloji Derneği Herediter Anjiyoödem Çalışma Grubu Başkanı Prof. Dr. Nihal Mete Gökmen, karaciğerde bulunan bir proteindeki sorun nedeniyle ortaya çıkan Herediter Anjioödem (HA) hastalığına karşı vatandaşları uyardı.

        HA'nın vücudun farklı bölgelerinde tekrarlayan, deride ve iç organlarda anjioödem (deri renginde şişlik) atakları ile seyreden, nadir rastlanan genetik bir hastalık olduğunu belirten GProf. Dr. ökmen, hastalığın Türkiye'de tanınması ve hastalığı taşıyanlara tanı konulması amacıyla çalışmalar yürüttüklerini söyledi.

        Türkiye'de bu hastalığa yakalanmış 2 bin 700 hastanın tanı beklediğini belirten Prof. Dr. Gökmen, yalnız 250 hastaya tanı konulduğunu söyledi. Prof. Dr. Gökmen hastalığın belirtileri konusunda şu bilgileri verdi:

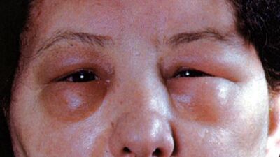
        "HA atağı deride ve iç organlarda şişmelerle kendini gösterir. Bu şişlikler özellikle kolları, yüzü, boğazı ve yanı sıra genital organları etkileyebilir. Şişlikler hiçbir zaman kaşıntılı değildir. Hasta şişliğin olduğu bölgede en azından bir gerilme hissi duyar; ancak şiddetli ataklarda gerilme hissi yerini ağrıya bırakır. Yüzü ilgilendiren ataklar şekil bozukluğuna yol açabilir. Şişlikler bağırsak duvarında da oluşabilir ve karın ağrısı, bulantı- kusma ve dolaşım sisteminde sorunlara neden olur."

        'ALERJİYLE KARIŞTIRILIYOR'

        HA'nın belirtileri sebebiyle alerji, Akdeniz ateşi gibi hastalıklarla karıştırıldığını belirten Prof. Dr. Gökmen, "HA hastalarındaki karın ağrısı şikayeti sebebiyle, bazen apandist tanısı konup yanlış bir ameliyat yapılabiliyor. Çoğu tıp fakültesinde hastalık ders olarak okutulmuyor. nadir görüldüğü için de doktorların aklına gelmiyor. O yüzden genelde alerji tedavisi uygulanıyor ama bu tedavi bir yarar sağlamıyor."

        'BELİRTİLERİ ÇOCUKLUKTA GÖRÜLMEYE BAŞLAR'

        Türkiye Ulusal Alerji ve Klinik İmmünoloji Derneği Herediter Anjiyo Ödem Çalışma Grubu eski başkanı Prof. Dr. Okan Gülbahar da, hastalığın ilk belirtilerinin çocukluk çağında görülmeye başladığını söyledi. Hastalığın şikayetlerinin karın bölgesinde hafif ağrıyla başladığını belirten Prof. Dr. Gülbahar, "Ataklar genellikle kendiliğinden iyileşir. Ancak çoğu zaman çoğu hastanın hayatını önemli ölçüde zorlaştırır ve normal hayat düzenini bozar. Tedavi almayan HA hastalar, yılda ortalama 100 ila 150 günlerini bu ataklarla geçirmek zorundadır" dedi.

        Hastalığın şikayetlerin oluşma sıklığının süre ve şiddetinin değişken olduğunu söyleyen Prof. Dr. Gülbahar, havayollarında tıkanmaya yol açan hastalığın nefes alamama nedeniyle ölüme sebebiyet verdiğini söyledi. Prof. Dr. Gülbahar, alerji kliniğine başvuran hastalara uygulanacak bir testle hastalığın tespitinin kısa sürede yapıldığını belirterek "C- 1 proteini düzeyi düşük hastalarda bu eksiklik haplar aracılığı ile tamamlanıyor. Böylelikle kriz sıklığı düşüyor, hasta normal yaşamını sürdürebiliyor" diye konuştu.

        DHA

        Yazı Boyutu
        GÜNÜN ÖNEMLİ MANŞETLERİ
        Habertürk Anasayfa