Habertürk
    Takipde Kalın!
      Günlük gelişmeleri takip edebilmek için habertürk uygulamasını indirin
        Haberler Sağlık Koronavirüsün akciğerdeki ağır tahribatı görüntülendi - Haberler | Sağlık Haberleri

        Tüm dünyayı etkisi alan ve ölümlere sebep olan yeni tip koronavirüs (Kovid-19) en çok akciğerleri etkiliyor.

        AA, Ankara Şehir Hastanesinde Kovid-19 tedavisi gören hastalara ait akciğer görüntülerine ulaştı. Görüntülerde, hastalığın ne kadar hızlı ilerlediği ve akciğerleri nasıl tuttuğu ortaya çıktı.

        Ankara Şehir Hastanesi Göğüs Hastalıkları Kliniği İdari ve Eğitim Sorumlusu Prof. Dr. Ayşegül Karalezli yaptığı açıklamada, salgının son hızıyla devam ettiğini belirterek, "Mart, nisan, mayıs ayında gördüğümüzden daha şiddetli ve daha hızlı sanki, çember daha çok daraldı. Etrafımızda bize yakın insanların kovid pozitif ve akciğer tutulumu ile geldiğini görüyoruz" ifadesini kullandı.

        Koronavirüs testi pozitif çıkan birçok kişinin, akciğer tutulumuyla başvurduğunu anlatan Karalezli, şunları söyledi:

        "Bu durum, hepimizi endişelendiriyor. Hastanelerin kapasitesi belli. Bu kapasitelerin üzerine çıkan bir hasta sayısı olursa ne yapacağımızı hepimizin düşünmesi lazım. İnsanların çok dikkatli olması gerekiyor. Korunmaya çok dikkat edilmeli. 'Maske, mesafe ve hijyen' diyoruz ama insanlar görüyoruz ki bunun çok farkında değiller. Önemsemiyorlar ama biz çok önemsiyoruz."

        "AKCİĞERE GİRİNCE ÇIKIŞI KOLAY OLMUYOR"

        Prof. Dr. Karalezli, koronavirüsün akciğerleri etkilediği durumda, nefes almanın çok zor olduğunun altını çizerek, halen hastaneye başvuranların da son derece ciddi akciğer tutulumlarının olduğuna vurgu yaptı.

        Normalde insanların oksijen seviyelerinin yüzde 98 olduğunu ifade eden Karalezli, koronavirüse yakalananlarda oksijen seviyenin yüzde 70'lere kadar düştüğünü belirtti. Bu durumdaki hastaların oksijen seviyelerini değişik makinalar ve yüksek akım oksijen cihazlarıyla düzeltmeye çalıştıklarını anlatan Karalezli, diğer zatürre durumlarında bu kadar ciddi oksijen düşüklüğü görülmediğine işaret etti.

        Prof. Dr. Karalezli, koronavirüsün çok farklı bilinmeyen yönü olduğuna dikkati çekerek, şu uyarıları yaptı:

        "İnsanların çok dikkat etmesini istiyoruz. Akciğere girdi mi bunun çıkışı kolay olmuyor. Altta yatan hastalığı varsa biraz ileri yaştaysa çok riskli. Şu an bizim takip ettiğimiz hasta yaş aralığı 40-60 yaş arası. Gençlerde hastalığın seyri çok hızlı gidiyor. Koronavirüs tüm organları tutabiliyor. Akciğer tutulumu varsa tablo kaçınılmaz olarak ilerliyor. İnsanların son derece duyarlı olmasını istiyoruz. Bizler çok yorulduk. Kovid hastalarıyla uğraşıyoruz bakmamız gereken diğer hastalarımız da var. Onlar da sürekli randevu almaya çalışıyorlar."

        "KRİTİK VE ZORLU SÜREÇ HASTALARI BEKLİYOR"

        Prof. Dr. Karalezli, koronavirüs tedavisi gören hastalara ait akciğer görüntülerinden hastalığın yol açtığı tahribatı ve hastalar üzerindeki etkileri anlattı.

        Tedavisine rağmen nefes darlığı şikayetleri devam eden bir hastaya uygulanan akciğer görüntülemesinde hastanın her iki akciğerinin büyük bir bölümünü enfeksiyon kapladığını tespit ettiklerini ifade eden Karalezli, "Bu hastalığın sonunun ne olduğunu bilmiyoruz. Akciğer tutulumları, bu şekilde olduğu zaman hastaları oksijen tedavisi ile gönderiyoruz. Çok yeni bir hastalık olduğu için bu seyir nasıl olacak? Geriye dönüş var mı? Takiplerle öğrenebileceğimiz bir durum" dedi.

        REKLAM

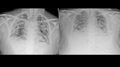
        Normal akciğer görüntüleri ile koronavirüs hastalarının akciğer görüntüleri arasında ciddi farklar bulunduğunu belirten Karalezli, şu bilgileri verdi:

        "İnsanların aradaki farkları anlamaları için her iki akciğer görüntülerine de yer verdim. Görüntülerdeki beyazlıklar akciğerdeki tutulumu gösteren görüntüler ne yazık ki. Bu hastalar yoğun bakım hastaları. Filmler birbirine az çok benzeyen şekilde. Altta yatan hastalığı olanlarda ise daha kötü seyrediyor."

        Kliniğe yeni başvuran bir hastanın, 5 Ağustos'ta çekilen tomografi görüntülerindeki tipik koronavirüs görüntülerinin olduğunu ifade eden Karalezli, hastanın bir hafta içerisindeki tomografi görüntüsünde ciddi değişiklik olduğunu ve enfeksiyonun çok arttığını söyledi.

        Prof. Dr. Karalezli, kritik ve zorlu bir sürecin hastaları beklediğini belirterek, bu kişilerin tedavisi sırasında yaşadıklarını ise şöyle aktardı:

        "Kritik ve zorlu bir süreç hastaları bekliyor. Sırt üstü yatmakta sıkıntı çekiyorlar, yüzü koyun yatırmak istiyoruz. Uzun süre yüzü koyun yattıkları zaman yüzlerinde yaralar oluşabilir. Bu hastalar yüzü koyun yattıklarında o rahata alıştıklarında tekrar sırt üstü yatmakta istemiyorlar. Nefes alamamak bu çok zor bir şey. Astım hastaları nefes açlığı ile gelirler. Tedavisini verirsiniz rahatlamış bir şekilde giderler ama bu hastalar öyle değil, sürekli nefes açlığı içindeler. Sürekli derin nefes alamamaktan şikayetçiler. Nefes darlığı çeken bazı hastaların çok ciddi vücut ağrıları da oluyor. Bazı hastalar da koku almama ikinci planda kalıyor."

        Yazı Boyutu
        GÜNÜN ÖNEMLİ MANŞETLERİ
        Habertürk Anasayfa