Habertürk
    Takipde Kalın!
      Günlük gelişmeleri takip edebilmek için habertürk uygulamasını indirin

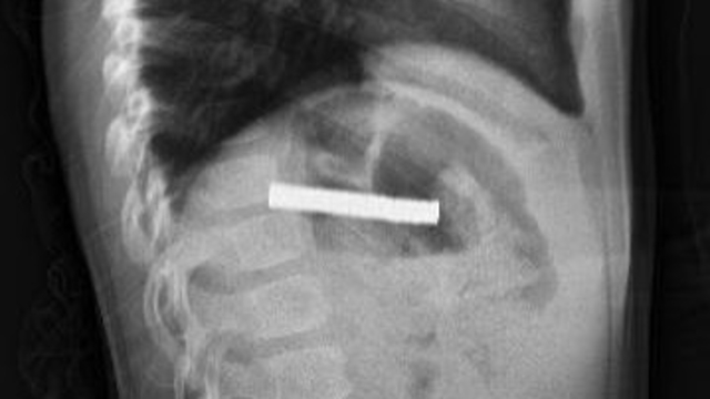
        ERZURUM’da 3 yaşındaki bir çocuğun yuttuğu 19 mıknatıs, Elazığ’daki Fırat Üniversitesi Hastanesi’nde yapılan başarılı bir operasyonla çıkarıldı.

        Erzurum’da 3 yaşındaki çocuk, evde oynadığı sırada 19 mıknatıs yuttu. Bir süre sonra rahatsızlanan çocuğun durumunu fark eden ailesi, hastaneye başvurdu. Yapılan ilk müdahalenin ardından çocuk, ileri tetkik ve tedavisi için Elazığ’daki Fırat Üniversitesi Hastanesi’ne sevk edildi. Fırat Üniversitesi Tıp Fakültesi Çocuk Gastroenteroloji, Hepatoloji ve Beslenme Bilim Dalı Başkanı Prof. Dr. Yaşar Doğan ve ekibi tarafından gerçekleştirilen operasyonla, çocuğun yemek borusuna yapışan 19 mıknatıs endoskopik yöntemle çıkarıldı. Mıknatısların, mide girişinde ve yemek borusunda zedelenmelere yol açtığı belirtildi. Çocuk tedavisinin ardından taburcu edildi.

        Anadolu Ajansı ve DHA tarafından geçilen tüm Elazığ haberleri, bu bölümde Haberturk.com editörlerinin hiçbir editoryal müdahalesi olmadan otomatik olarak ajans kanallarından geldiği şekliyle yer almaktadır. Elazığ Haberleri alanında yer alan haberlerin hepsinin hukuki muhatabı haberi geçen ajanslardır.

        Tüm Yerel Haberler
        Elazığ İlçeleri
        Tüm Elazığ Haberleri
        Elazığ

        Elazığ

        Nöbetçi Eczaneler

        Yazı Boyutu
        Günün Önemli Manşetleri

        Benzer Haberler

        Habertürk Anasayfa